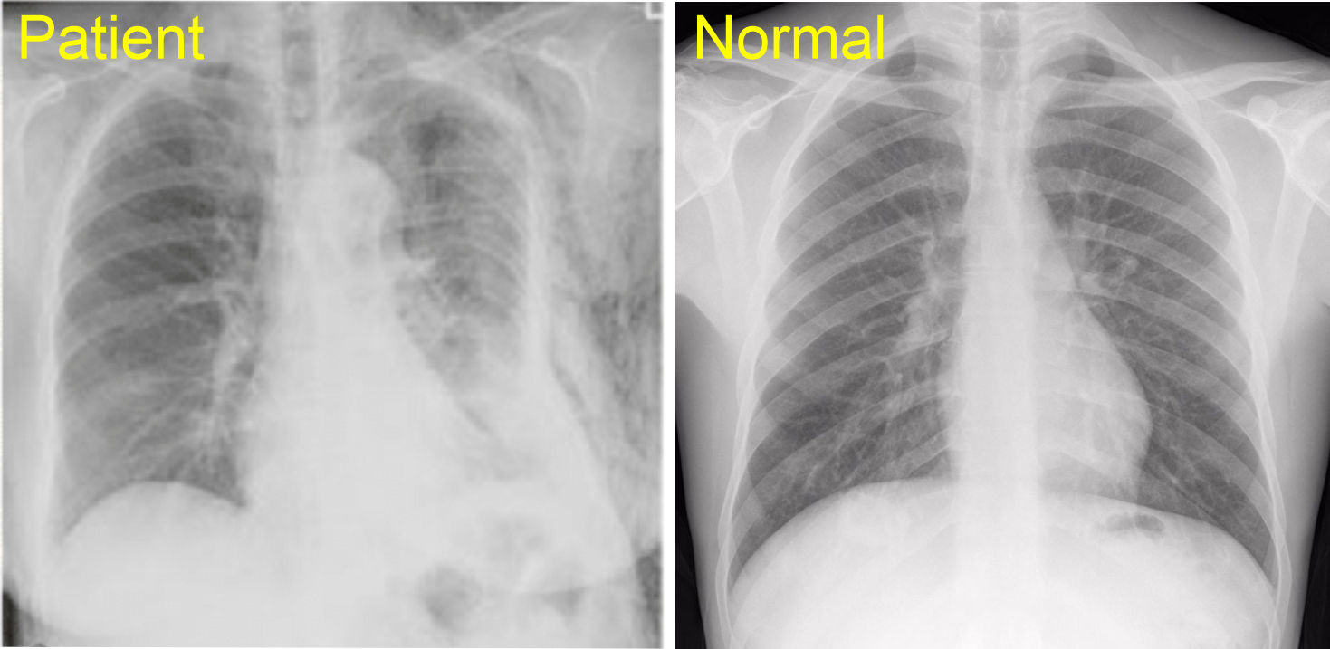
Case
A patient was in a side car impact where the drivers side door collapsed inward impacting the anterolateral aspect of the patients left torso. The patient indicates they have extreme pain when moving their left arm and shortness of breath. The pain is significantly stronger than during quiet breathing. When moving the arm back and forth you hear a 'clicking' - Click here for sound - A CT is also ordered and shows

Question 3/3 - What is your plan for this patient?
Click on your selected option(s) below (correct = 1, over-thinking = 2+)
Case Complete